
Le scellement dentaire est une technique préventive révolutionnaire, indolore et non invasive, qui s’impose comme une solution incontournable pour la protection de votre santé bucco-dentaire et celle de vos enfants. Chez Dentale Albania, nous comprenons que la prévention est la clé d’un sourire sain et durable. C’est pourquoi nous mettons à votre disposition cette procédure simple et efficace, qui consiste à appliquer une résine protectrice sur les sillons des molaires pour prévenir l’apparition des caries, particulièrement dans les zones difficiles d’accès où les bactéries et les résidus alimentaires ont tendance à s’accumuler. Cette démarche proactive est un investissement minimal pour des bénéfices maximaux, vous épargnant des traitements plus complexes et coûteux à l’avenir.
Loin d’être une simple intervention esthétique, le scellement des sillons dentaires est une véritable barrière protectrice. Il est crucial pour les jeunes patients, car leurs dents permanentes, fraîchement éruptées, sont particulièrement vulnérables. Mais cette technique n’est pas l’apanage des enfants; les adultes présentant des sillons profonds ou un risque carieux élevé peuvent également en bénéficier grandement. En choisissant Dentale Albania pour votre prévention bucco-dentaire, vous optez pour une expertise reconnue et des soins de haute qualité, accessibles grâce à notre offre de Tourisme Dentaire en Albanie. Permettez-nous de vous guider à travers tous les aspects de cette procédure bénéfique et de découvrir comment elle peut transformer l’avenir de votre sourire.
Table des matières
ToggleComprendre le Scellement Dentaire : Une Protection Innovante pour les Sillons Molaires
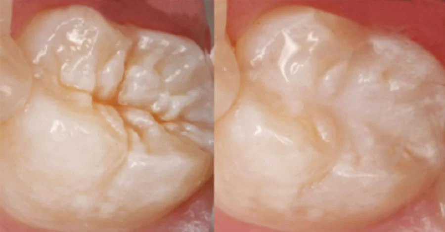
Le scellement dentaire, souvent appelé scellement des sillons ou des puits et sillons, est une méthode de protection primordiale qui vise à fortifier les dents les plus exposées au risque de carie. Les molaires et les prémolaires, situées à l’arrière de la bouche, possèdent des surfaces masticatoires naturellement irrégulières, parsemées de sillons, de puits et de fissures profondes. Ces anfractuosités, semblables à un relief montagneux miniature, sont de véritables pièges pour la plaque dentaire et les particules alimentaires. Malgré un brossage méticuleux, ces zones restent souvent inatteignables par les poils de la brosse à dents, créant un environnement propice à la prolifération bactérienne et, in fine, au développement d’une dent cariée.
Le principe du scellement est d’aplanir et de combler ces zones vulnérables avec une résine protectrice. Cette barrière physique empêche les bactéries et les sucres d’atteindre l’émail, protégeant ainsi la dent de l’attaque acide qui conduit aux caries. C’est une démarche simple, mais d’une efficacité redoutable pour maintenir l’intégrité de la dentition. Chez Dentale Albania, nos experts sont formés aux techniques les plus avancées pour assurer une application parfaite et une protection maximale, en intégrant cette procédure dans une approche globale de la dentisterie générale.
Que sont les scellants dentaires et comment sont-ils faits ?
Les sealants dentaires sont des matériaux spécifiques, généralement à base de résine fluide, parfois enrichie en fluor, ou de ciment verre ionomère. Ces matériaux sont conçus pour adhérer fortement à la surface de l’émail et former une couche protectrice durable. La procédure commence par un nettoyage approfondi de la dent pour éliminer toute trace de plaque dentaire et de résidus. Ensuite, un gel d’adhérence est appliqué ou un traitement chimique est effectué sur l’émail pour créer une surface microporeuse, favorisant une meilleure accroche de la résine. C’est une étape cruciale qui garantit la longévité et l’efficacité du scellement.
Une fois la dent préparée, la résine dentaire fluide, qui peut être blanche ou incolore pour s’harmoniser discrètement avec la teinte naturelle de la dent, est délicatement coulée dans les sillons et les fissures. Elle pénètre alors les moindres recoins, comblant toutes les anfractuosités. Le matériau est ensuite durci en quelques secondes à l’aide d’une lumière bleue ou UV. Cette polymérisation rapide transforme la résine fluide en une surface solide et lisse, impénétrable par les bactéries. Un léger polissage final et un contrôle de l’occlusion sont effectués pour s’assurer que le scellement n’entrave pas la mastication. Le patient peut ensuite manger normalement, la protection étant immédiate. Il est important de noter que cette technique est différente du collage dentaire qui vise à restaurer des défauts plus importants sur la face visible des dents.
Le Déroulement Simplifié d’un Scellement Dentaire chez Dentale Albania
L’un des atouts majeurs du scellement dentaire réside dans sa simplicité et sa rapidité d’exécution, des qualités particulièrement appréciées, surtout lorsque l’on travaille avec des enfants. Chez Dentale Albania, nous nous efforçons de rendre chaque visite aussi confortable et efficace que possible. La pose d’un scellement est une procédure ambulatoire qui ne nécessite aucune préparation complexe et qui est généralement achevée en une seule séance, pour la plus grande tranquillité d’esprit de nos patients. Chaque dent traitée prend environ 5 à 30 minutes, ce qui permet de réaliser l’intervention sur plusieurs dents en un temps raisonnable.
Le processus est conçu pour être entièrement dénué de stress et de douleur, ce qui en fait une excellente première expérience dentaire pour les plus jeunes ou pour les patients anxieux. Nous privilégions une approche douce et pédagogique, expliquant chaque étape pour rassurer le patient et favoriser sa coopération. Cette procédure fait partie intégrante de notre engagement envers la prophylaxie dentaire, visant à prévenir les problèmes avant qu’ils ne surviennent, et ainsi éviter des interventions plus lourdes comme une obturation dentaire ou même un traitement endodontique.
Le scellement dentaire est-il douloureux ?
Absolument pas. Le scellement dentaire est une procédure entièrement indolore et non invasive. Contrairement à d’autres interventions dentaires, il ne requiert ni anesthésie, ni forage de la dent. Il n’y a donc aucune piqûre, aucune sensation de vibration ni de chaleur désagréable. Les patients, en particulier les enfants, apprécient grandement cette approche douce qui dédramatise la visite chez le dentiste. L’intervention se limite à l’application de produits sur la surface de l’émail, suivie d’un durcissement par lumière. Le confort du patient est notre priorité chez Dentale Albania, et cette technique est un exemple parfait de notre engagement à fournir des soins efficaces et agréables.
Le déroulement type de l’intervention chez Dentale Albania inclut plusieurs étapes clés :
- Nettoyage et isolation de la dent : La première étape consiste à nettoyer minutieusement la surface de la dent à sceller. Cela permet d’éliminer la plaque dentaire, les résidus alimentaires et toute impureté qui pourrait compromettre l’adhésion du scellant. La dent est ensuite isolée de la salive à l’aide de cotons ou d’un champ opératoire pour maintenir un environnement sec, essentiel à la bonne prise de la résine.
- Préparation de l’émail : Un gel doux, généralement à base d’acide phosphorique, est appliqué sur les sillons. Ce gel permet de créer de micro-aspérités à la surface de l’émail, augmentant ainsi considérablement la surface d’accroche et l’adhérence future de la résine. Après quelques secondes, le gel est rincé abondamment et la dent est à nouveau séchée.
- Application du scellant : Une fois l’émail préparé, la résine dentaire fluide ou le ciment verre ionomère est appliqué délicatement à l’aide d’un petit pinceau ou d’une seringue directement dans les sillons et les puits. Nos dentistes veillent à ce que le matériau remplisse toutes les irrégularités sans créer d’excès, assurant une surface parfaitement lisse.
- Polymérisation et ajustements : La résine est ensuite durcie instantanément à l’aide d’une lampe à photopolymériser, émettant une lumière bleue/UV. Cette étape fixe le scellant fermement sur la dent. Enfin, le dentiste vérifie l’occlusion (la manière dont les dents supérieures et inférieures se rencontrent) et procède à un léger polissage pour éliminer tout excès de matériau et assurer un confort maximal au patient.
Dès la fin de la séance, le patient peut reprendre ses activités habituelles, y compris manger et boire, sans aucune restriction. C’est une solution simple, rapide et remarquablement efficace pour prévenir les caries et assurer une prévention bucco-dentaire optimale.
Les Multiples Avantages du Scellement Dentaire : Prévention Caries Enfants et Adultes
Le scellement dentaire est une mesure de prophylaxie dentaire dont les bénéfices s’étendent bien au-delà de la simple protection contre les caries. C’est un véritable investissement pour la santé orale à long terme, tant pour les enfants que pour les adultes. L’efficacité de cette technique est largement documentée et reconnue par la communauté scientifique. En choisissant cette option préventive chez Dentale Albania, vous optez pour une solution qui combine confort, efficacité et durabilité.
Nos dentistes expérimentés s’assurent que chaque scellement est posé avec la plus grande précision, garantissant ainsi une protection optimale. Cette approche préventive est particulièrement pertinente dans le contexte du Tourisme Dentaire en Albanie, où les patients recherchent des solutions de haute qualité à des coûts accessibles. Le scellement représente une partie essentielle de notre offre de soins, axée sur la préservation de la santé dentaire et la réduction du besoin de traitements plus complexes à l’avenir.
Quels sont les avantages de ce traitement ?
Les avantages du scellement des sillons sont nombreux et significatifs :
- Indolore et non invasif : Comme mentionné précédemment, la procédure est réalisée sans aucune anesthésie, piqûre ou forage dentaire. C’est un aspect fondamental qui contribue à une expérience positive chez le dentiste, notamment pour les enfants qui peuvent développer une appréhension des soins dentaires. Ce caractère non invasif préserve l’intégrité de la structure dentaire naturelle.
- Efficacité redoutable contre les caries : Le principal avantage est sa capacité à réduire significativement le risque de carie. En comblant les sillons molaires profonds, il crée une barrière mécanique impénétrable par les bactéries et les acides. Selon diverses études, les sealants dentaires peuvent réduire le risque de carie sur les surfaces masticatoires de près de 50%, voire plus, sur une période allant jusqu’à 4 ans, et maintenir une protection substantielle bien au-delà. De plus, certaines résines contiennent et libèrent du fluor, renforçant ainsi l’émail de la dent de l’intérieur, comme un bouclier double action.
- Durabilité exceptionnelle : Les scellements dentaires offrent une protection de longue durée. En moyenne, un scellement peut rester efficace pendant 7 à 10 ans, et parfois plus longtemps, avec un bon entretien et des contrôles réguliers. Cela signifie des années de tranquillité d’esprit contre les caries pour la dent traitée. La longévité du traitement en fait une option très rentable à long terme.
- Quasi-invisible : Les résines utilisées sont souvent transparentes ou de couleur blanche très claire, se fondant parfaitement avec la teinte naturelle de la dent. Le résultat est donc discret et esthétique, sans altérer l’apparence du sourire. Ce qui est essentiel pour l’esthétique dentaire globale.
- Remboursé sous certaines conditions : Dans de nombreux systèmes de santé, y compris en France (la source étant française), le scellement des sillons est partiellement ou totalement remboursé par l’assurance maladie pour les enfants et adolescents jusqu’à un certain âge sur les molaires permanentes. Cela rend cette mesure préventive encore plus accessible et encourage sa généralisation.
- Facilite le brossage et renforce l’émail : En lissant la surface de la dent, le scellement élimine les zones où les aliments et la plaque peuvent facilement s’accrocher. Le brossage des dents devient ainsi plus facile et plus efficace. La résine protectrice, notamment celles qui libèrent du fluor, contribue également à renforcer l’émail, le rendant plus résistant aux attaques acides.
L’efficacité de cette technique dans la prévention des caries enfants est particulièrement remarquable. En protégeant les premières molaires permanentes dès leur éruption, on limite considérablement le risque de développer des caries dès le plus jeune âge, posant les bases d’une excellente santé dentaire pour toute une vie. C’est une démarche simple qui peut éviter à l’enfant des douleurs, des visites répétées chez le dentiste et des traitements plus invasifs à l’avenir.
Durée de Vie et Suivi du Scellement Dentaire : Une Protection Longue Durée
La question de la durée de vie est centrale lorsqu’il s’agit du scellement dentaire, car elle détermine l’efficacité à long terme de cette mesure préventive. Chez Dentale Albania, nous insistons sur la qualité des matériaux et la précision de l’application pour maximiser la longévité de chaque scellement. Cependant, il est essentiel de comprendre que, comme toute intervention dentaire, le scellement nécessite un suivi régulier pour garantir son efficacité continue. Ce n’est pas une solution « une fois pour toutes », mais une protection robuste qui demande une vigilance occasionnelle.
Nos protocoles de suivi s’inscrivent dans une démarche de examen bucco dentaire régulier, permettant de surveiller l’état de chaque scellement et d’intervenir si nécessaire. Cette approche est particulièrement importante pour les patients venant profiter du Tourisme Dentaire en Albanie, car nous nous assurons que leur investissement dans leur santé dentaire soit pérenne, même après leur retour.
Quelle est la durée de vie d’un scellement dentaire ?
Bien qu’il n’y ait pas de durée de vie « précise » garantie au jour près, l’expérience clinique et les études montrent qu’un scellement dentaire a une espérance de vie moyenne de 7 à 10 ans. Certains peuvent durer plus longtemps, tandis que d’autres peuvent nécessiter une retouche ou un remplacement plus tôt. Plusieurs facteurs influencent cette durée, notamment la qualité de l’adhésion initiale, les habitudes alimentaires du patient, la force de sa mastication, son hygiène bucco-dentaire et l’usure naturelle. Des contrôles réguliers, généralement tous les six mois lors des visites de routine chez le dentiste pour un nettoyage dentaire, sont essentiels. Ces visites permettent de vérifier l’intégrité du scellement, de s’assurer qu’il est toujours bien adhérent et qu’il n’y a pas de signes d’effritement ou de dégradation.
Inconvénients et maintenance nécessaire
Les inconvénients du scellement dentaire sont minimes, mais ils existent. Le principal « inconvénient » est la possibilité que le scellement s’effrite ou se dégrade partiellement avec le temps. Bien que cela soit rare peu après la pose (par exemple, dans les six premiers mois), la mastication constante et l’acidité buccale peuvent user la résine. Si une partie du scellement se détache, la zone devient à nouveau vulnérable aux caries. C’est pourquoi un contrôle régulier par le dentiste est crucial. Lors de ces visites, le professionnel peut facilement identifier un scellement dégradé et le réparer ou le remplacer. La procédure est la même que la pose initiale, et tout aussi indolore.
Il est également important de faire la distinction entre le scellement des sillons et le scellement prothétique. Le scellement des sillons, comme nous l’avons décrit, est une technique préventive utilisant une résine ou un ciment verre ionomère pour protéger la surface occlusale des dents. Le scellement prothétique, en revanche, fait référence à la fixation de restaurations dentaires telles que les couronnes dentaires, les ponts dentaires ou les inlays onlays dentaires à l’aide de ciments spéciaux. Bien que les deux utilisent des matériaux adhésifs, leurs objectifs et leurs applications sont distincts. Chez Dentale Albania, nous maîtrisons l’ensemble de ces techniques pour offrir une solution complète à vos besoins dentaires, que ce soit pour la prévention ou la restauration, incluant même des interventions plus complexes comme la pose d’un implant dentaire ou d’une prothèse dentaire sur implant.
À Qui S’adresse le Scellement Dentaire : Cible Principale et Cas Spécifiques
Le scellement dentaire est une solution de prophylaxie dentaire universellement reconnue, mais son indication est particulièrement pertinente pour certains groupes de patients. L’objectif est toujours le même : protéger les dents des caries avant qu’elles n’apparaissent, en ciblant les zones les plus vulnérables. La compréhension de qui peut bénéficier le plus de cette intervention est essentielle pour une stratégie de santé bucco-dentaire efficace, que nous promouvons activement chez Dentale Albania, y compris pour nos patients de Tourisme Dentaire en Albanie.
Il ne s’agit pas seulement de traiter, mais surtout de prévenir. En identifiant les patients à risque et en proposant le scellement au bon moment, nous pouvons épargner de futures complications et des traitements plus lourds. Cette approche s’inscrit pleinement dans notre philosophie de soins préventifs et conservateurs.
Quand faire un scellement de sillon chez l’enfant ?
La population cible principale pour le scellement dentaire est sans aucun doute les enfants et adolescents. Le moment idéal pour réaliser cette intervention est dès l’éruption des molaires définitives, et ce pour plusieurs raisons. Tout d’abord, les dents fraîchement éruptées n’ont généralement pas encore été affectées par des caries. Les sillons sont donc propres et prêts à être scellés pour une protection maximale. De plus, l’émail des dents permanentes jeunes est moins minéralisé et donc plus vulnérable aux attaques acides que celui des dents adultes, ce qui rend la protection d’autant plus cruciale. Chez Dentale Albania, nous recommandons le scellement :
- Dès l’éruption des **premières molaires définitives**, généralement autour de 6-7 ans. Ces dents sont fondamentales pour la mastication et sont parmi les premières à risquer la carie.
- Vers 11-12 ans, lors de l’éruption des **secondes molaires définitives**.
Cette intervention est une composante essentielle de l’orthodontie enfant et des soins de prévention bucco dentaire chez les jeunes, permettant de jeter les bases d’une dentition saine pour l’avenir.
Où sont placés les scellements des sillons dentaires ?
Les scellements des sillons dentaires sont spécifiquement placés sur les faces occlusales (masticatoires) des molaires et des prémolaires. Ces dents postérieures sont celles qui possèdent les sillons, puits et fissures les plus profonds et les plus complexes, rendant leur nettoyage difficile et augmentant leur vulnérabilité aux caries. Les incisives et les canines, situées à l’avant de la bouche, ont des surfaces plus lisses et sont généralement moins exposées à ce type de risque, elles ne nécessitent donc pas de scellement. L’accent est mis sur les dents directement impliquées dans la mastication, celles qui subissent le plus de contraintes et qui sont le plus exposées aux résidus alimentaires.
Le scellement dentaire pour les adultes
Bien que la prévention caries enfants soit la principale indication, le scellement n’est pas exclusivement réservé aux jeunes patients. Les adultes peuvent également en bénéficier, en particulier ceux qui présentent des sillons très profonds sur leurs molaires ou prémolaires et qui n’ont jamais eu de scellement auparavant. Les personnes ayant un risque carieux élevé, par exemple en raison de problèmes de santé générale, de médicaments qui réduisent la production de salive ou d’une hygiène bucco-dentaire difficile, sont aussi de bons candidats. Chez Dentale Albania, nos dentistes évaluent attentivement chaque situation lors de l’examen bucco dentaire pour déterminer si le scellement est une option pertinente, même à l’âge adulte, contribuant ainsi à une réhabilitation orale complète et préventive.
Scellement Dentaire vs. Fluoration : Comprendre les Différences pour une Prophylaxie Dentaire Optimale
Dans le domaine de la prophylaxie dentaire, plusieurs approches existent pour prévenir l’apparition des caries. Le scellement dentaire et la fluoration (application de vernis fluoré) sont deux techniques courantes et efficaces, souvent complémentaires, mais qui agissent de manière distincte. Comprendre leurs différences est essentiel pour choisir la stratégie de protection la plus adaptée à chaque patient. Chez Dentale Albania, nos spécialistes vous guident dans l’élaboration d’un plan de prévention sur mesure, optimisant la synergie entre ces différentes méthodes pour une santé bucco-dentaire maximale, un élément clé de nos services de dentisterie générale.
L’efficacité de la prévention est un pilier de notre philosophie. Nous mettons l’accent sur l’information et l’éducation de nos patients, leur permettant de faire des choix éclairés pour leur bien-être dentaire. Que ce soit pour les enfants ou les adultes, une bonne stratégie préventive peut éviter bien des soucis et des coûts à long terme, en réduisant la nécessité d’interventions plus complexes comme la pose d’un implant dentaire.
Quelle est la différence entre scellement et fluoration ?
La distinction principale réside dans leur mode d’action et leur objectif spécifique :
- Le Scellement Dentaire : une barrière mécanique
Le scellement dentaire, comme nous l’avons détaillé, est une protection physique et mécanique. Il consiste à combler les sillons molaires profonds et les fissures des surfaces masticatoires avec une résine dentaire ou un ciment verre ionomère. Son rôle est de créer une barrière imperméable qui empêche les bactéries, la plaque dentaire et les résidus alimentaires de s’accumuler dans ces zones difficiles à nettoyer. Il agit comme un « couvercle » protecteur, rendant la surface de la dent lisse et facile à brosser. C’est une protection durable, dont l’efficacité peut s’étendre sur 7 à 10 ans, voire plus, nécessitant des contrôles réguliers pour vérifier son intégrité.
- La Fluoration : un renforcement chimique de l’émail
La fluoration, par l’application de vernis fluoré ou de gels fluorés, a un mode d’action chimique. Le fluor est un minéral qui s’incorpore dans la structure de l’émail dentaire, le rendant plus résistant aux attaques acides produites par les bactéries de la bouche. Il favorise également la reminéralisation des lésions carieuses débutantes. Contrairement au scellement, la fluoration ne comble pas les sillons physiquement. Son effet est plus généralisé sur l’ensemble de la dentition et se veut temporaire. Pour maintenir une protection efficace, l’application de vernis fluoré doit être renouvelée régulièrement, généralement deux fois par an.
Synergie entre les deux techniques
Bien qu’ils soient différents, le scellement dentaire et la fluoration ne sont pas mutuellement exclusifs ; au contraire, ils sont souvent complémentaires. Un enfant, par exemple, peut bénéficier à la fois du scellement de ses molaires permanentes et d’applications régulières de fluor pour renforcer l’émail de toutes ses dents. Cette combinaison offre une protection à double niveau : une barrière physique contre l’intrusion bactérienne dans les zones les plus à risque, et un renforcement chimique de la résistance de l’émail de toutes les surfaces dentaires. Cette stratégie intégrée de prévention bucco dentaire est la plus efficace pour minimiser le risque de caries et assurer une santé dentaire optimale. Nos équipes de Dentale Albania évaluent les besoins spécifiques de chaque patient pour recommander la combinaison de traitements préventifs la plus appropriée, inscrivant cette démarche dans une vision de soins durables.
Le Scellement Dentaire à un Coût Abordable : L’Option Dentale Albania pour Votre Santé Buccale
Investir dans la prévention est toujours plus judicieux que de devoir traiter des problèmes existants. Le scellement dentaire est un exemple parfait de cette philosophie. C’est une procédure relativement simple et rapide, mais son impact sur la prévention des caries est colossal. Chez Dentale Albania, nous croyons fermement que des soins dentaires de haute qualité doivent être accessibles à tous. C’est pourquoi nous proposons le scellement dentaire à des tarifs qui défient toute concurrence, sans jamais compromettre l’excellence des matériaux ni l’expertise de nos praticiens. Notre modèle de Tourisme Dentaire en Albanie est précisément conçu pour offrir des solutions de pointe à une fraction du coût observé dans de nombreux pays occidentaux.
La valeur ajoutée de choisir Dentale Albania va au-delà du simple prix. Elle englobe une expérience de soin complète, où la qualité rencontre l’abordabilité. Nous nous engageons à vous offrir des traitements préventifs et curatifs de premier ordre, réalisés avec les technologies les plus modernes et par des professionnels hautement qualifiés. L’économie réalisée sur un scellement dentaire peut sembler modeste, mais elle s’inscrit dans une perspective plus large de réduction des coûts dentaires à vie, en évitant des procédures coûteuses telles que l’implant dentaire, les All on 4, All on 6 ou All on 8, les implants zygomatiques ou même des prothèses dentaires complètes.
Un investissement pour l’avenir de votre sourire
Le coût du scellement dentaire est généralement bien inférieur à celui de la réparation d’une carie (via une obturation dentaire) ou d’un traitement de canal (traitement endodontique), sans parler de l’extraction d’une dent cariée et de son remplacement éventuel par un implant unitaire ou une couronne dentaire. En optant pour cette mesure préventive, vous protégez non seulement la santé de vos dents, mais aussi votre portefeuille à long terme. La durée de vie moyenne de 7 à 10 ans d’un scellement signifie que pour un investissement initial minime, vous bénéficiez d’une protection significative pendant une décennie. Les prix en Albanie, comparativement à d’autres pays européens, permettent de réaliser ces soins préventifs avec un budget maîtrisé, rendant la prévention accessible à un plus grand nombre.
Chez Dentale Albania, nous proposons des forfaits transparents pour le scellement dentaire, adaptés aux besoins des familles et des individus. Nos équipes sont disponibles pour vous fournir des devis détaillés et répondre à toutes vos questions concernant les coûts, les procédures et les avantages. Nous mettons un point d’honneur à offrir une expérience client exceptionnelle, depuis la première consultation jusqu’au suivi post-traitement. En choisissant Dentale Albania, vous choisissez une solution de santé dentaire complète, abordable et axée sur l’excellence, qui prend en compte l’ensemble de vos besoins, y compris l’esthétique dentaire, le blanchiment dentaire, et bien d’autres services qui peuvent vous aider à refaire ses dents.
Témoignages et Cas Réels : L’Impact du Scellement Dentaire sur la Vie de Nos Patients
Les chiffres et les explications scientifiques attestent de l’efficacité du scellement dentaire, mais ce sont les histoires vécues par nos patients qui illustrent le mieux l’impact positif de cette procédure préventive. Chez Dentale Albania, nous sommes fiers de contribuer à des sourires sains et de voir la tranquillité d’esprit qu’elle apporte aux familles. Le scellement dentaire est souvent perçu comme une petite intervention, mais ses répercussions sur la santé bucco-dentaire à long terme sont immenses, en particulier pour la prévention caries enfants.
Prenons l’exemple d’une famille française qui a choisi Dentale Albania pour les soins de leurs enfants dans le cadre du Tourisme Dentaire en Albanie. Marie, 8 ans, et son frère Léo, 12 ans, avaient des sillons profonds sur leurs molaires permanentes, les rendant particulièrement vulnérables aux caries. Leurs parents, soucieux de leur santé dentaire et des coûts élevés dans leur pays d’origine, ont découvert notre clinique.
Un avenir sans carie pour Marie et Léo
Lors de leur premier examen bucco dentaire chez Dentale Albania, nos dentistes ont recommandé le scellement dentaire pour les molaires de Marie et Léo. Les parents étaient un peu hésitants, ne sachant pas si la procédure serait désagréable pour les enfants. Notre équipe a pris le temps d’expliquer chaque étape de manière ludique, rassurant les enfants et leurs parents sur le caractère indolore et non invasif de l’intervention. Marie, d’ordinaire anxieuse chez le dentiste, a été surprise de la rapidité et du confort de la pose. Léo a trouvé cela « plutôt cool » de voir la lumière bleue durcir la résine.
Quelques années plus tard, lors de leurs contrôles réguliers, les molaires de Marie et Léo sont restées parfaitement saines. Alors que plusieurs de leurs camarades de classe ont déjà eu des caries nécessitant des obturations dentaires, voire des traitements plus lourds, Marie et Léo ont échappé à ces désagréments. Le sourire éclatant de Léo, notamment après un léger blanchiment dentaire, est une preuve tangible de l’efficacité de la prévention.
Le coût des scellements, bien plus abordable en Albanie, a permis à cette famille de protéger les dents de leurs enfants sans grever leur budget. Au-delà de l’économie financière, les parents ont exprimé leur immense soulagement de savoir leurs enfants à l’abri des douleurs et des complications liées aux caries. Ce cas illustre parfaitement comment une mesure préventive simple comme le scellement dentaire peut avoir un impact positif profond sur la qualité de vie et la santé à long terme, en évitant des interventions plus lourdes et potentiellement plus coûteuses comme les implants à mise en charge immédiate ou différée.
Ces histoires ne sont pas isolées. Elles reflètent l’expérience de nombreux patients qui ont choisi Dentale Albania pour des soins dentaires préventifs et curatifs de qualité supérieure. Nous nous efforçons de créer un environnement où chaque patient se sent écouté, compris et reçoit les meilleurs traitements adaptés à ses besoins, qu’il s’agisse de facettes dentaires, d’appareils dentaires fixes, ou de traitements plus spécifiques comme la greffe osseuse pour implant dentaire.
Conclusion : Protégez Votre Sourire avec le Scellement Dentaire et Dentale Albania
Le scellement dentaire est bien plus qu’une simple procédure préventive ; c’est une stratégie intelligente pour préserver la santé bucco-dentaire de toute la famille. Indolore, rapide et non invasive, cette technique offre une protection durable et efficace contre les caries, particulièrement sur les sillons molaires des enfants et des adultes à risque. En comblant ces zones vulnérables avec une résine dentaire ou un ciment verre ionomère, nous créons une barrière impénétrable pour les bactéries, facilitant ainsi le brossage et renforçant la résistance de l’émail.
Chez Dentale Albania, nous nous engageons à vous offrir des soins de la plus haute qualité, intégrant les dernières avancées en matière de prophylaxie dentaire. Notre expertise en dentisterie générale, combinée à des tarifs exceptionnellement compétitifs, fait de nous le choix idéal pour ceux qui recherchent des solutions de santé dentaire de premier ordre. Le Tourisme Dentaire en Albanie vous offre l’opportunité de bénéficier de ces traitements essentiels, tout en découvrant un pays magnifique et accueillant.
N’attendez pas que les caries fassent leur apparition. Opter pour le scellement dentaire, c’est choisir la tranquillité d’esprit, des économies à long terme et un sourire plus sain pour les années à venir. Que ce soit pour la prévention caries enfants ou pour protéger les dents de l’adulte, cette solution est une pierre angulaire d’une bonne prévention bucco dentaire. Contactez-nous dès aujourd’hui pour planifier votre consultation et découvrir comment Dentale Albania peut vous aider à maintenir un sourire éclatant et une santé dentaire optimale. Nos équipes sont prêtes à vous accueillir et à vous accompagner dans cette démarche essentielle pour votre bien-être.







