
La **réhabilitation orale**, également connue sous le nom de réhabilitation bucco-dentaire complète, est un processus transformateur conçu pour restaurer la fonction masticatoire, l’esthétique du sourire et la santé globale de la bouche chez les patients dont la dentition est endommagée, incomplète ou gravement compromise. Chez Dentale Albania, nous comprenons que la perte de dents ou une dentition abîmée peut affecter bien plus que votre apparence. Elle peut impacter votre confiance en vous, votre alimentation, votre élocution et même votre bien-être général. C’est pourquoi nous proposons des solutions de réhabilitation orale complètes, alliant expertise de pointe, technologies innovantes et des tarifs accessibles, pour vous aider à retrouver un sourire éclatant et une qualité de vie incomparable.
Notre approche de la **réhabilitation orale** ne se limite pas à des soins isolés. Elle englobe une vision holistique, considérant chaque aspect de votre santé bucco-dentaire pour garantir des résultats durables et harmonieux. Nous nous engageons à vous offrir des traitements de la plus haute qualité, comparables à ceux que vous trouveriez au Royaume-Uni ou en France, tout en vous permettant de réaliser des économies significatives, grâce à notre modèle de Tourisme Dentaire en Albanie. Laissez-nous vous guider à travers les différentes facettes de cette procédure essentielle qui peut changer votre vie.
Qu’est-ce que la Réhabilitation Orale Complète ? Une Approche Multidisciplinaire
La **réhabilitation orale complète** est une approche globale et intégrée visant à reconstruire l’ensemble de la cavité buccale. Elle est indispensable lorsque la dentition est gravement compromise par des pathologies multiples telles que des caries avancées, des maladies parodontales sévères, des traumatismes importants, une usure dentaire généralisée due au bruxisme, ou une perte étendue de dents. Contrairement aux soins dentaires conventionnels qui se concentrent souvent sur une seule dent ou un problème isolé, la **réhabilitation orale** considère la bouche comme un écosystème complexe, où chaque élément joue un rôle crucial dans la fonction et l’esthétique.
Notre équipe chez Dentale Albania, composée de spécialistes expérimentés, adopte cette perspective multidisciplinaire. L’objectif principal est double : restaurer la fonction et sublimer l’esthétique. Sur le plan fonctionnel, il s’agit de rétablir une mastication efficace et confortable, de corriger les troubles d’occlusion (la manière dont les dents supérieures et inférieures se rencontrent) qui peuvent entraîner des douleurs articulaires temporo-mandibulaires (ATM) ou des migraines chroniques, et de prévenir les problèmes digestifs liés à une mauvaise mastication. Sur le plan esthétique, l’harmonisation du sourire et du bas du visage est primordiale. Un sourire restauré, aligné et naturel contribue à améliorer significativement la confiance en soi et l’image de la personne.
Réhabilitation Orale et Réhabilitation Globale : Quelles Différences ?
Vous vous interrogez peut-être sur la distinction entre **réhabilitation orale** et **réhabilitation globale** ou bucco-dentaire complète. En réalité, ces termes sont souvent utilisés de manière interchangeable et désignent la même approche compréhensive. Ils décrivent un traitement qui va au-delà des soins dentaires conventionnels pour embrasser une transformation complète de l’ensemble de la dentition. Il ne s’agit pas de remplacer une seule dent ou de traiter une carie isolée, mais de concevoir et d’exécuter un plan de traitement coordonné qui adresse toutes les problématiques existantes, de la santé des gencives à l’alignement des dents, en passant par le remplacement des éléments manquants et l’amélioration de l’esthétique générale. Chez Dentale Albania, notre expertise en Prosthodontie dentaire nous permet de maîtriser parfaitement cette vision globale.
Cette approche exige une planification méticuleuse et une coordination entre différentes spécialités dentaires, telles que l’implantologie, l’orthodontie, la parodontologie et la dentisterie esthétique. Le but ultime est de créer un environnement buccal sain, fonctionnel et esthétiquement plaisant, qui améliorera durablement la qualité de vie du patient. C’est un engagement à long terme envers votre bien-être, et chez Dentale Albania, nous mettons tout en œuvre pour que ce parcours soit aussi confortable et efficace que possible, en vous offrant un accompagnement personnalisé à chaque étape de votre transformation.
Quand Envisager une Réhabilitation Complète Dentaire ? Les Indications Clés
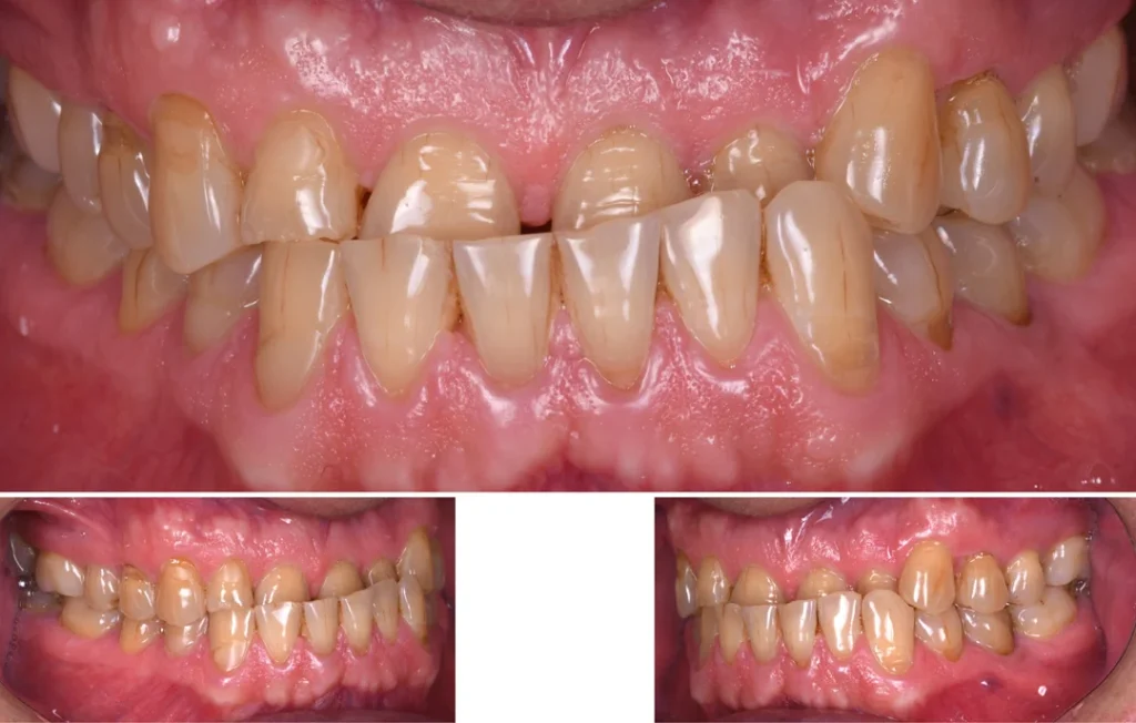
La décision d’entreprendre une **réhabilitation complète dentaire** est souvent motivée par des problèmes dentaires complexes qui affectent non seulement la fonction mais aussi l’esthétique et la qualité de vie. Ce type de traitement est recommandé lorsque plusieurs aspects de votre santé bucco-dentaire sont compromis simultanément, rendant des interventions isolées insuffisantes pour un résultat optimal et durable. Reconnaître les signes indiquant la nécessité d’une **restauration dentaire complète** est la première étape vers un sourire retrouvé et une meilleure santé générale.
Voici les situations les plus courantes où une **réhabilitation orale** est fortement conseillée par nos experts chez Dentale Albania :
- **Perte de plusieurs dents ou édentation avancée :** Que ce soit suite à des extractions multiples, des accidents ou des maladies parodontales, l’absence de plusieurs dents crée un déséquilibre majeur qui peut entraîner une résorption osseuse et des difficultés de mastication importantes. Les solutions comme les All on 4, All on 6, ou All on 8 peuvent être envisagées ici.
- **Dents abîmées, usées ou très endommagées :** Des dents fissurées, fortement cariées, érodées par l’acidité ou usées par des années de bruxisme ne peuvent plus remplir correctement leur rôle. Elles peuvent également causer des douleurs et compromettre l’intégrité des autres dents.
- **Maladies parodontales avancées affectant les gencives et l’os de support :** Les infections chroniques des gencives peuvent entraîner une perte osseuse significative, la mobilité dentaire et, à terme, la chute des dents. Un assainissement parodontal profond est alors une étape cruciale avant toute restauration.
- **Mauvais alignement dentaire, déséquilibre de l’occlusion ou malocclusions sévères :** Lorsque les dents ne s’emboîtent pas correctement, cela peut provoquer une usure anormale, des tensions musculaires, des céphalées et des problèmes articulaires au niveau des mâchoires. Un traitement orthodontique peut être intégré.
- **Difficultés à mastiquer, douleurs articulaires temporo-mandibulaires (ATM) ou troubles digestifs liés :** Ces symptômes sont souvent le reflet d’une dentition non fonctionnelle. La réhabilitation vise à restaurer une mastication efficace pour améliorer la digestion et réduire les douleurs.
L’Importance Cruciale du Bilan Initial pour une Restauration Dentaire Complète
Avant d’initier toute **réhabilitation orale**, un bilan clinique exhaustif est absolument essentiel. Chez Dentale Albania, cette phase initiale est la pierre angulaire de votre traitement, car elle nous permet d’évaluer précisément l’étendue des dommages, d’identifier vos besoins spécifiques et d’élaborer un plan de traitement entièrement personnalisé. Ce bilan inclut une série d’examens rigoureux : des radiographies panoramiques et des rétro-alvéolaires, ainsi que des scanners 3D avancés. Ces outils diagnostiques nous offrent une vision détaillée de votre structure osseuse, de la position de vos dents, de l’état de vos racines et de la santé de vos tissus mous.
L’étude de l’occlusion, qui analyse la manière dont vos mâchoires se rencontrent et fonctionnent, est également une composante clé de ce bilan. Elle permet de détecter les déséquilibres pouvant causer des problèmes fonctionnels ou des douleurs. Cette analyse approfondie garantit que chaque étape de votre **réfection dentaire globale** sera planifiée avec la plus grande précision, minimisant les risques et optimisant les résultats. C’est grâce à cette compréhension complète de votre situation que nous pouvons vous proposer la solution la plus adaptée, en tenant compte de vos attentes esthétiques et de vos impératifs fonctionnels, pour un sourire non seulement beau, mais aussi durablement sain.
Les Piliers de la Réhabilitation Orale : Traitements et Technologies de Pointe
La **réhabilitation orale** chez Dentale Albania est un processus hautement personnalisé qui combine l’expertise de diverses spécialités dentaires. Chaque patient étant unique, le plan de traitement est élaboré sur mesure, en s’appuyant sur les technologies les plus avancées pour garantir des résultats optimaux. Cette approche intégrée nous permet de traiter toutes les facettes de votre santé bucco-dentaire, du remplacement des dents manquantes à l’amélioration de l’esthétique générale de votre sourire.
Implantologie : Une Solution Fixe et Durable pour les Dents Manquantes
Au cœur de nombreuses réhabilitations, l’implant dentaire est la solution de choix pour remplacer les dents manquantes. Un implant unitaire ou multiple agit comme une racine artificielle en titane, insérée dans l’os de la mâchoire, sur laquelle une prothèse dentaire sur implant (couronne, bridge ou prothèse complète) peut être fixée. Chez Dentale Albania, nous maîtrisons toutes les techniques d’implantologie, des implants standards aux solutions plus complexes pour les cas de résorption osseuse sévère, comme les implants zygomatiques, les implants ptérygoïdiens ou les implants nasaux. Nous proposons également la technique d’implant dentaire mise en charge immédiate, permettant, dans certains cas, de poser une prothèse provisoire le jour même. Notre expertise inclut également les implants à mise en charge immédiate ou différée, ainsi que des procédures d’augmentation osseuse telles que l’élévation sinusale, essentielles pour garantir la stabilité et la durabilité de vos implants.
Orthodontie : Réalignement des Dents pour une Occlusion Harmonieuse
Lorsque le mauvais alignement des dents ou une malocclusion est un facteur contributif aux problèmes bucco-dentaires, l’orthodontie devient une composante essentielle de la **réhabilitation orale**. Que ce soit par des INVISALIGN, des appareils dentaires fixes ou d’autres traitements orthodontiques, l’objectif est de repositionner les dents pour optimiser l’occlusion et faciliter la mastication, tout en améliorant l’esthétique du sourire. Nous prenons en charge l’orthodontie enfant et adulte, assurant des résultats précis et un suivi rigoureux grâce à des appareils de contention dentaire pour maintenir la stabilité à long terme.
Parodontologie : Assainir l’Environnement Buccal pour la Pérennité des Soins
La santé des gencives est fondamentale pour la réussite de toute **réhabilitation orale**. La parodontologie se concentre sur le diagnostic et le traitement des maladies des gencives (gingivites, parodontites). Un environnement buccal assaini est crucial pour la longévité des prothèses et des implants. Nos parodontologues travaillent à éliminer les infections, à réduire l’inflammation et à restaurer la santé gingivale, parfois complété par un remodelage des gencives pour une esthétique parfaite.
Prothèses Dentaires : Couronnes, Bridges et Prothèses Complètes
Les prothèses dentaires sont au cœur de la restauration des dents absentes ou abîmées. Elles peuvent prendre plusieurs formes : des couronnes dentaires individuelles pour protéger une dent fragilisée, des bridges pour remplacer une ou plusieurs dents manquantes en s’appuyant sur des dents adjacentes ou des implants, ou des prothèses complètes fixes ou amovibles pour les cas d’édentation totale. Chez Dentale Albania, nous utilisons des matériaux de haute qualité, comme la céramique, pour des résultats à la fois résistants et d’un réalisme exceptionnel, s’intégrant parfaitement à votre dentition naturelle.
Soins Esthétiques : La Touche Finale pour un Sourire Harmonieux
Au-delà de la fonction, l’esthétique dentaire joue un rôle majeur dans la **réhabilitation orale**. Des traitements comme les facettes dentaires (qu’il s’agisse de facettes composites, de facettes en porcelaine ou de facettes E.max), le blanchiment dentaire, le remodelage gingival (gingivoplastie) ou le remodelage dentaire sont souvent intégrés pour parfaire le sourire. Ces techniques permettent de corriger les imperfections de forme, de couleur ou d’alignement, et de garantir que le résultat final soit non seulement fonctionnel mais aussi visuellement impeccable. L’collage dentaire peut également être utilisé pour des corrections mineures et immédiates. Chez Dentale Albania, nous nous engageons à vous offrir un sourire qui reflète votre personnalité et booste votre confiance en vous, en exploitant toutes les possibilités de l’esthétique moderne.
Le Parcours de Votre Sourire : Comment se Déroule une Réhabilitation Bucco-Dentaire ?
Entreprendre une **réhabilitation bucco-dentaire** est un voyage bien structuré vers un sourire renouvelé et une santé orale optimale. Chez Dentale Albania, nous avons affiné ce processus pour le rendre le plus efficace, transparent et confortable possible pour nos patients. Le parcours se divise généralement en trois phases principales, chacune étant cruciale pour le succès global du traitement et la pérennité de ses résultats. Comprendre ces étapes vous aidera à visualiser le cheminement vers votre nouveau sourire.
Phase 1 : Le Bilan Initial et la Planification Personnalisée
Tout commence par un **bilan initial** approfondi, comme mentionné précédemment. Cette étape est fondamentale et peut durer de quelques heures à une journée complète, en fonction de la complexité de votre situation. Notre équipe réalise une analyse clinique minutieuse, incluant un examen visuel de vos dents, gencives et mâchoires. Des radiographies numériques de pointe et des scanners 3D sont effectués pour obtenir une cartographie précise de votre anatomie buccale, y compris l’état de votre os et la position des structures nerveuses. L’étude de l’occlusion est une priorité pour identifier les déséquilibres et les points de contact anormaux qui pourraient impacter la fonction masticatoire et les articulations temporo-mandibulaires. Ces données sont ensuite utilisées pour créer un modèle numérique et physique de votre bouche. Forts de ces informations, nos spécialistes en **réhabilitation orale** élaborent un plan de traitement détaillé et entièrement personnalisé, discuté avec vous pour s’assurer qu’il correspond à vos attentes, à votre budget et à vos objectifs de santé et d’esthétique. C’est durant cette phase que vous comprendrez l’ensemble des options pour refaire ses dents qui s’offrent à vous.
Phase 2 : Les Traitements Progressifs pour Reconstruire Votre Santé Orale
Une fois le plan de traitement validé, la deuxième phase débute. Elle est caractérisée par une série de traitements progressifs visant à assainir et à reconstruire votre bouche. Cette étape peut inclure :
- **Assainissement parodontal :** Traitement des maladies des gencives et des supports dentaires pour créer une base saine.
- **Extractions dentaires si nécessaires :** Retrait des dents irrécupérables ou des racines endommagées.
- **Procédures pré-implantaires :** Si l’os de la mâchoire est insuffisant, des interventions comme l’augmentation osseuse, la greffe osseuse pour implant dentaire ou l’élévation sinusale peuvent être réalisées pour préparer le terrain aux implants.
- **Pose d’implants dentaires :** Insertion chirurgicale des implants dentaires qui serviront de fondations pour les futures prothèses. Cette étape est cruciale et nécessite une période de cicatrisation pour l’ostéointégration.
- **Traitements orthodontiques :** Si un réalignement des dents est nécessaire, des appareils (fixes ou amovibles comme Invisalign) sont mis en place.
- **Préparation des dents et pose de prothèses provisoires :** Les dents restantes sont préparées pour recevoir des couronnes ou des bridges, et des prothèses provisoires peuvent être installées pour restaurer l’esthétique et la fonction en attendant les prothèses définitives.
Cette phase est la plus longue et varie considérablement en durée, généralement de 6 à 24 mois, selon la complexité des interventions et le temps de cicatrisation nécessaire. Des améliorations sont souvent ressenties progressivement, ce qui motive les patients à chaque étape.
Phase 3 : La Phase Finale, Ajustements et Suivi à Long Terme
La **phase finale** de la **réhabilitation orale** est celle où les prothèses définitives sont installées. Il s’agit de couronnes, de bridges ou de prothèses complètes, minutieusement fabriquées pour s’adapter parfaitement à votre bouche et à votre nouveau sourire. Des ajustements précis sont effectués pour garantir un confort optimal, une occlusion harmonieuse et une esthétique irréprochable. Des soins esthétiques supplémentaires, tels que les facettes ou le blanchiment dentaire, peuvent être réalisés à ce stade pour les finitions. Cette phase se conclut par des conseils détaillés sur l’entretien de votre nouvelle dentition et un programme de suivi régulier. Des visites de contrôle sont essentielles pour s’assurer de la bonne cicatrisation des tissus, de la stabilité des implants et de la durabilité de tous les éléments restaurés. Un suivi à long terme permet de prévenir d’éventuels problèmes et de maintenir votre sourire en parfait état pour de nombreuses années.
Combien de temps dure la cicatrisation après une réhabilitation orale ?
La durée totale de la **réhabilitation orale** est généralement comprise entre 6 et 24 mois, en fonction de la complexité des cas et de la nécessité de procéder à des interventions chirurgicales comme la pose d’implants. Concernant spécifiquement la cicatrisation des implants, il faut compter entre 3 et 6 mois. Cette période est cruciale et permet l’ostéointégration, c’est-à-dire la fusion de l’implant avec l’os de la mâchoire, assurant ainsi une base solide et durable pour la future prothèse. Pendant ce temps, vous porterez souvent des prothèses provisoires pour préserver l’esthétique et la fonction. Il est impératif d’adopter une hygiène bucco-dentaire rigoureuse et de suivre scrupuleusement toutes les consignes post-opératoires fournies par votre dentiste chez Dentale Albania. Cela inclut des rendez-vous de suivi réguliers pour s’assurer que la guérison progresse de manière optimale et pour ajuster si nécessaire votre plan de traitement. Une bonne coopération du patient est la clé pour une cicatrisation réussie et des résultats durables.
Les Bénéfices Inestimables d’une Réhabilitation Orale Réussie avec Dentale Albania
Une **réhabilitation orale** bien menée par des spécialistes expérimentés comme ceux de Dentale Albania ne se contente pas de corriger des problèmes dentaires. Elle représente une véritable transformation, offrant une multitude de bénéfices qui impactent positivement tous les aspects de votre vie. Au-delà de l’aspect purement médical, les avantages d’une **réfection dentaire globale** touchent votre confort, votre santé générale et votre bien-être psychologique. Notre engagement est de vous permettre de redécouvrir le plaisir de manger, de parler et de sourire sans aucune gêne ni douleur.
Restauration Complète de la Mastication et du Confort Alimentaire
L’un des premiers et plus importants bénéfices est la restauration totale de la fonction masticatoire. Lorsque vos dents sont abîmées ou manquantes, mastiquer devient une tâche difficile et douloureuse. Une **réhabilitation orale** permet de remplacer les dents absentes par des solutions stables comme les implants dentaires et les prothèses dentaires, assurant une mastication efficace et un confort alimentaire retrouvé. Vous pourrez savourer tous les aliments que vous aimez sans restriction, ce qui a un impact direct sur votre digestion et votre apport nutritionnel. Nos patients témoignent d’une amélioration spectaculaire de leur qualité de vie quotidienne, souvent dès les premières phases du traitement.
Amélioration de l’Élocution et Réduction des Tensions Cervicales
La perte de dents, particulièrement à l’avant de la bouche, peut altérer l’élocution et provoquer des difficultés à prononcer certains mots. En restaurant une dentition complète et alignée, la **réhabilitation orale** permet d’améliorer significativement votre capacité à parler clairement et avec confiance. De plus, un mauvais alignement dentaire et une occlusion déséquilibrée peuvent entraîner des tensions musculaires chroniques au niveau de la mâchoire, du cou et des épaules, provoquant des douleurs cervicales et des céphalées. En corrigeant ces problèmes, nos traitements contribuent à réduire ces tensions et à soulager les douleurs chroniques, pour un confort général accru.
Prévention de la Résorption Osseuse et des Douleurs Chroniques
La perte de dents non remplacées mène inévitablement à la résorption de l’os de la mâchoire. Ce phénomène affaiblit la structure faciale, peut affecter les dents adjacentes et complique d’éventuels traitements futurs. Les implants dentaires, en stimulant l’os, aident à prévenir cette résorption, préservant ainsi l’intégrité de votre visage. De plus, en corrigeant les problèmes d’occlusion et en stabilisant la dentition, la **réhabilitation orale** aide à prévenir les douleurs chroniques liées aux dysfonctionnements de l’articulation temporo-mandibulaire (ATM), améliorant ainsi votre bien-être général.
Gain de Confiance Grâce à un Sourire Esthétique et Naturel
L’impact psychologique d’un sourire endommagé est souvent sous-estimé. Beaucoup de nos patients se sentent gênés, évitent de sourire et perdent confiance en eux. Une **réhabilitation orale** réussie avec des soins esthétiques de pointe, comme les facettes dentaires ou le blanchiment dentaire, permet de retrouver un sourire non seulement fonctionnel, mais aussi naturellement beau et harmonieux. Ce gain de confiance est immense, se répercutant positivement sur vos interactions sociales et professionnelles, et vous permettant de vous exprimer pleinement sans retenue. Un sourire radieux est un atout puissant pour votre estime de soi.
Amélioration Globale de la Qualité de Vie, Fonctionnelle et Sociale
En fin de compte, la **réhabilitation orale** chez Dentale Albania vise une amélioration globale et significative de votre qualité de vie. Cela inclut le confort fonctionnel au quotidien (manger, parler), la réduction des douleurs, mais aussi une dimension sociale et psychologique. Nos patients retrouvent le plaisir de rire, de s’exprimer et de partager des moments sans la crainte du jugement ou de l’inconfort. Cette transformation contribue à un sentiment de bien-être général, vous permettant de vivre une vie plus épanouie et plus sereine. C’est un investissement dans votre santé et votre bonheur sur le long terme.
Coût d’une Réhabilitation Orale et Prise en Charge : L’Avantage Dentale Albania
Le **coût d’une réhabilitation orale** est une considération importante pour de nombreux patients. Il est vrai qu’un tel traitement, en raison de sa complexité et de la diversité des interventions qu’il englobe, représente un investissement. Cependant, il est essentiel de le percevoir comme un investissement dans votre santé, votre bien-être et votre qualité de vie sur le long terme. Chez Dentale Albania, nous nous engageons à offrir des solutions de haute qualité à des tarifs considérablement plus avantageux que ceux pratiqués dans de nombreux pays occidentaux, sans jamais compromettre l’excellence des soins.
Facteurs Influant sur le Prix d’une Réhabilitation Orale Complète
Le **prix d’une réhabilitation orale complète** est multifactoriel. Il dépend principalement :
- **Du nombre et du type d’implants dentaires nécessaires :** Un implant unitaire n’aura pas le même coût qu’une solution All on 4, All on 6 ou All on 8. Les procédures spécifiques comme les implants zygomatiques ou l’augmentation osseuse peuvent également influencer le tarif.
- **Des prothèses dentaires choisies :** Le type de prothèse dentaire sur implant, qu’il s’agisse de couronnes en céramique, de bridges ou de prothèses complètes, impactera le budget.
- **Des traitements complémentaires :** L’inclusion d’orthodontie, de parodontologie, ou de soins esthétiques comme les facettes ou le blanchiment dentaire, ajoutera au coût total.
- **Des technologies utilisées :** L’utilisation de scanners 3D, de la CFAO (Conception et Fabrication Assistées par Ordinateur) pour les prothèses, et d’autres équipements de pointe contribue à la qualité et au coût.
- **De la complexité du cas :** Un cas très dégradé nécessitant de nombreuses interventions chirurgicales sera naturellement plus coûteux.
En Suisse, pour donner un ordre de grandeur, une réhabilitation orale peut osciller entre 10 000 et 50 000 CHF, voire plus. En France, les tarifs varient également fortement selon les cliniques et la région. C’est ici que Dentale Albania offre un avantage majeur. Grâce à des coûts d’exploitation inférieurs et à une économie générale plus favorable, nous pouvons proposer des tarifs jusqu’à 70% moins chers pour des soins d’une qualité équivalente, voire supérieure, à ceux pratiqués en Europe de l’Ouest. Nous vous fournissons systématiquement un devis personnalisé, clair et détaillé après votre bilan initial, afin que vous ayez une estimation précise et sans surprise du **coût de votre réhabilitation complète**.
La Réhabilitation Orale est-elle prise en charge par la Sécurité sociale et les Mutuelles ?
En France, la **réhabilitation orale** peut être partiellement prise en charge par la Sécurité sociale pour certains actes considérés comme des soins (extractions, traitements des caries, prothèses dentaires classiques). Cependant, les actes d’implantologie ou les aspects purement esthétiques (comme les facettes sans visée fonctionnelle) sont souvent moins bien couverts, voire pas du tout. Le taux de remboursement peut varier considérablement, atteignant parfois jusqu’à 70% pour les soins de base mais chutant drastiquement pour les actes prothétiques ou d’implants. C’est pourquoi une mutuelle complémentaire est fortement conseillée pour réduire le reste à charge. Néanmoins, même avec une bonne mutuelle, le reste à charge peut rester élevé pour une **réhabilitation orale** complète en France.
En choisissant Dentale Albania, bien que les soins ne soient pas directement remboursés par la Sécurité sociale française (sauf si vous suivez une procédure spécifique pour des soins transfrontaliers), le coût total de nos traitements est tellement compétitif que même sans remboursement, l’économie réalisée est souvent très significative. Par exemple, un traitement qui coûterait 20 000 € en France (avec un reste à charge de 10 000 € après remboursement mutuelle) pourrait ne coûter que 7 000 € en Albanie. L’économie est évidente. De plus, de nombreuses mutuelles européennes acceptent de couvrir une partie des frais engagés à l’étranger. Nous vous recommandons de vérifier auprès de votre caisse et de votre mutuelle pour un cas spécifique, et notre équipe peut vous aider avec les documents nécessaires pour faciliter d’éventuelles démarches de remboursement. Des options de financement, comme des facilités de paiement, peuvent également être étudiées pour rendre votre projet plus accessible.
Sécurité et Expertise : Dissiper les Inquiétudes Autour de la Réhabilitation Orale avec Dentale Albania
Il est naturel d’avoir des questions et des préoccupations concernant un traitement aussi complet que la **réhabilitation orale**. La sécurité, le succès des interventions et la minimisation des risques sont des priorités absolues chez Dentale Albania. Nous mettons un point d’honneur à vous informer de manière transparente et à vous rassurer sur chaque aspect de votre parcours de soins, en vous garantissant une expertise de pointe et des protocoles rigoureux.
Y a-t-il des risques avec la réhabilitation orale ?
Comme toute intervention médicale ou chirurgicale, la **réhabilitation orale** comporte des risques, mais ils sont minimes et très bien contrôlés lorsque le traitement est réalisé par des spécialistes expérimentés. Les complications potentielles peuvent inclure une infection post-opératoire (rare grâce à des protocoles d’asepsie stricts et des prescriptions antibiotiques), un rejet d’implant (extrêmement faible, autour de 1 à 2%, souvent lié à des facteurs comme le tabagisme ou des maladies systémiques non contrôlées) ou un inconfort temporaire (douleur, gonflement, ecchymoses) après les interventions chirurgicales. Chez Dentale Albania, nous prenons toutes les mesures nécessaires pour minimiser ces aléas. Notre approche est hautement personnalisée, débutant par un bilan préalable extrêmement détaillé, incluant des scanners 3D et une analyse complète de votre état de santé général. Cette planification minutieuse nous permet d’anticiper et de prévenir la grande majorité des complications. De plus, notre équipe utilise des matériaux biocompatibles de la plus haute qualité et des techniques chirurgicales éprouvées, garantissant la meilleure issue possible pour chaque patient.
Notre Engagement envers la Qualité et la Sécurité
L’expertise de notre équipe est au cœur de notre capacité à offrir une **réhabilitation orale** sécurisée et réussie. Nos chirurgiens-dentistes et spécialistes sont hautement qualifiés, bénéficiant d’une formation continue aux dernières avancées technologiques et cliniques. Nos cliniques sont équipées d’infrastructures modernes et respectent les normes d’hygiène et de sécurité internationales les plus strictes. Nous n’utilisons que des implants et matériaux prothétiques certifiés et traçables, issus de fabricants reconnus mondialement. Le suivi post-opératoire est également une composante essentielle de notre engagement, avec des rendez-vous de contrôle réguliers pour s’assurer de la bonne guérison et de la stabilité à long terme de vos restaurations. Nous fournissons des instructions claires pour les soins à domicile et restons disponibles pour répondre à toutes vos questions. Choisir Dentale Albania, c’est opter pour la tranquillité d’esprit, sachant que vous êtes entre les mains d’experts dédiés à votre santé et à votre sécurité.
Choisir Votre Spécialiste : Pourquoi Dentale Albania est Votre Meilleur Choix pour une Réhabilitation Orale
La recherche d’un spécialiste en **réhabilitation orale** peut sembler complexe, surtout lorsqu’on envisage des traitements aussi conséquents. En France, vous trouverez des chirurgiens-dentistes formés en réhabilitation orale clinique dans des cabinets spécialisés, par exemple à Cabestany près de Perpignan, ou dans de grandes cliniques. Il est généralement recommandé de privilégier les cliniques équipées de technologies 3D et offrant une approche multidisciplinaire. Cependant, pour ceux qui recherchent l’excellence des soins combinée à une accessibilité financière remarquable, Dentale Albania se distingue comme un choix privilégié.
L’Expertise et l’Expérience de Dentale Albania au Service de Votre Sourire
Chez Dentale Albania, notre expertise en **réhabilitation orale** repose sur des années d’expérience et une formation continue de nos praticiens aux techniques les plus avancées. Nos chirurgiens-dentistes sont des spécialistes reconnus dans leurs domaines respectifs : implantologie, prosthodontie, parodontologie, et orthodontie. Cette approche multidisciplinaire garantit que chaque aspect de votre **réfection dentaire globale** est pris en charge par un expert dévoué. Nous sommes fiers de notre capacité à résoudre les cas les plus complexes, transformant des situations désespérées en sourires éclatants et fonctionnels. Nos cliniques sont dotées d’équipements de diagnostic et de traitement de pointe, incluant des scanners 3D, des systèmes de CFAO (Conception et Fabrication Assistées par Ordinateur) pour des prothèses sur mesure, et des blocs opératoires ultra-modernes, garantissant précision, sécurité et rapidité des interventions.
L’Engagement de Dentale Albania envers l’E-E-A-T (Expertise, Expérience, Autorité, Fiabilité)
Nous comprenons l’importance de la confiance lorsqu’il s’agit de votre santé bucco-dentaire. C’est pourquoi chez Dentale Albania, nous incarnons les principes d’E-E-A-T. Notre **expertise** est attestée par nos qualifications et notre spécialisation. Notre **expérience** est prouvée par les milliers de patients satisfaits et les cas de réhabilitation orale complexes que nous avons traités avec succès. Notre **autorité** est renforcée par notre engagement à la recherche et à l’adoption des meilleures pratiques mondiales en dentisterie. Enfin, notre **fiabilité** se manifeste par notre transparence, nos protocoles stricts de sécurité et d’hygiène, et les témoignages positifs de nos patients qui ont retrouvé un sourire et une qualité de vie transformée. Nous vous invitons à consulter nos études de cas et les avis de nos patients pour vous faire une idée concrète de notre engagement.
Le Tourisme Dentaire : Un Avantage Incomparable
Opter pour Dentale Albania, c’est aussi choisir le meilleur du Tourisme Dentaire en Albanie. Au-delà des économies substantielles (jusqu’à 70% par rapport aux tarifs en France ou au Royaume-Uni), vous bénéficiez d’une expérience de soins sans attente prolongée et de la possibilité de découvrir un pays magnifique. L’Albanie offre un cadre idéal pour combiner vos soins dentaires avec un séjour agréable, vous permettant de récupérer dans un environnement serein et de profiter de la richesse culturelle et naturelle de la région. Notre équipe vous accompagne dans l’organisation de votre voyage, du transport à l’hébergement, pour une expérience fluide et sans stress. C’est une opportunité unique de prendre soin de votre sourire tout en vivant une aventure mémorable.
Restaurer Votre Sourire, Retrouver Votre Confiance avec Dentale Albania
La **réhabilitation orale** est bien plus qu’une série de traitements dentaires ; c’est un investissement profond dans votre santé, votre bien-être et votre confiance en vous. Chez Dentale Albania, nous sommes dédiés à vous accompagner dans cette transformation, en vous offrant des soins d’une qualité irréprochable, une expertise de pointe et des tarifs accessibles. Imaginez pouvoir croquer à pleines dents dans la vie, parler sans hésitation et sourire avec une joie retrouvée. C’est la promesse d’une **réhabilitation orale** réussie.
Nous comprenons que la décision d’entreprendre un tel parcours est importante, et nous sommes là pour répondre à toutes vos questions, dissiper vos doutes et vous guider à chaque étape. Notre équipe met tout en œuvre pour que votre expérience soit confortable, sécurisée et couronnée de succès. N’attendez plus pour prendre le chemin d’un sourire fonctionnel, esthétique et durable. **Contactez Dentale Albania dès aujourd’hui pour obtenir un bilan gratuit et un devis sur mesure.** Nous sommes impatients de vous aider à retrouver le sourire que vous méritez et à découvrir les avantages inégalés du Tourisme Dentaire en Albanie.







