Compila il modulo qui sotto e ti risponderemo il prima possibile con una stima personalizzata.
📩 È semplice, veloce e senza impegno!
Ottieni subito il tuo sconto!
Risparmia fino al 70% contattandoci oggi stesso!
Dentisti Professionisti in Albania
Presso le cliniche Dentale Albania, uniamo la odontoiatria di livello mondiale, tecnologie all’avanguardia e un’esperienza personalizzata per offrire risultati straordinari che non solo ripristinano il tuo sorriso, ma anche la tua fiducia e qualità della vita.
Dai singoli impianti alle riabilitazioni complete del cavo orale, Dentale Albania è la destinazione ideale per una trasformazione dentale in Albania.

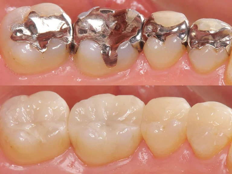
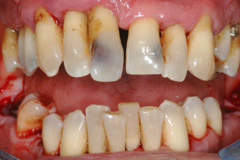
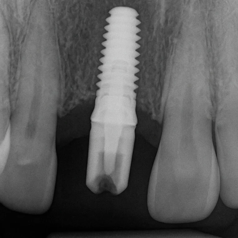
Implantologia è una sostituzione sicura dei denti mancanti.

Migliorare l’aspetto del tuo sorriso.

L’odontoiatria generale include diagnosi, prevenzione e trattamento della salute orale.

Ogni intervento eseguito all'interno della tua bocca.

Specialità dentale focalizzata sull’allineamento del morso.

Riparare denti danneggiati o sostituire quelli mancanti.
Powered by Insidetrending.com.
Copyright Dentale Albania © 2025